Krone Zahn Nach Wurzelbehandlung

Krone Zahn Nach Wurzelbehandlung. Krone nach Wurzelbehandlung Zahnarztpraxis PearlDent Entscheidet man sich nach der Wurzelkanalbehandlung gegen eine Krone, geht man das Risiko ein, dass der Zahn bei Belastung bricht Zahn überkronen nach Wurzelbehandlung: Individuelle Entscheidung

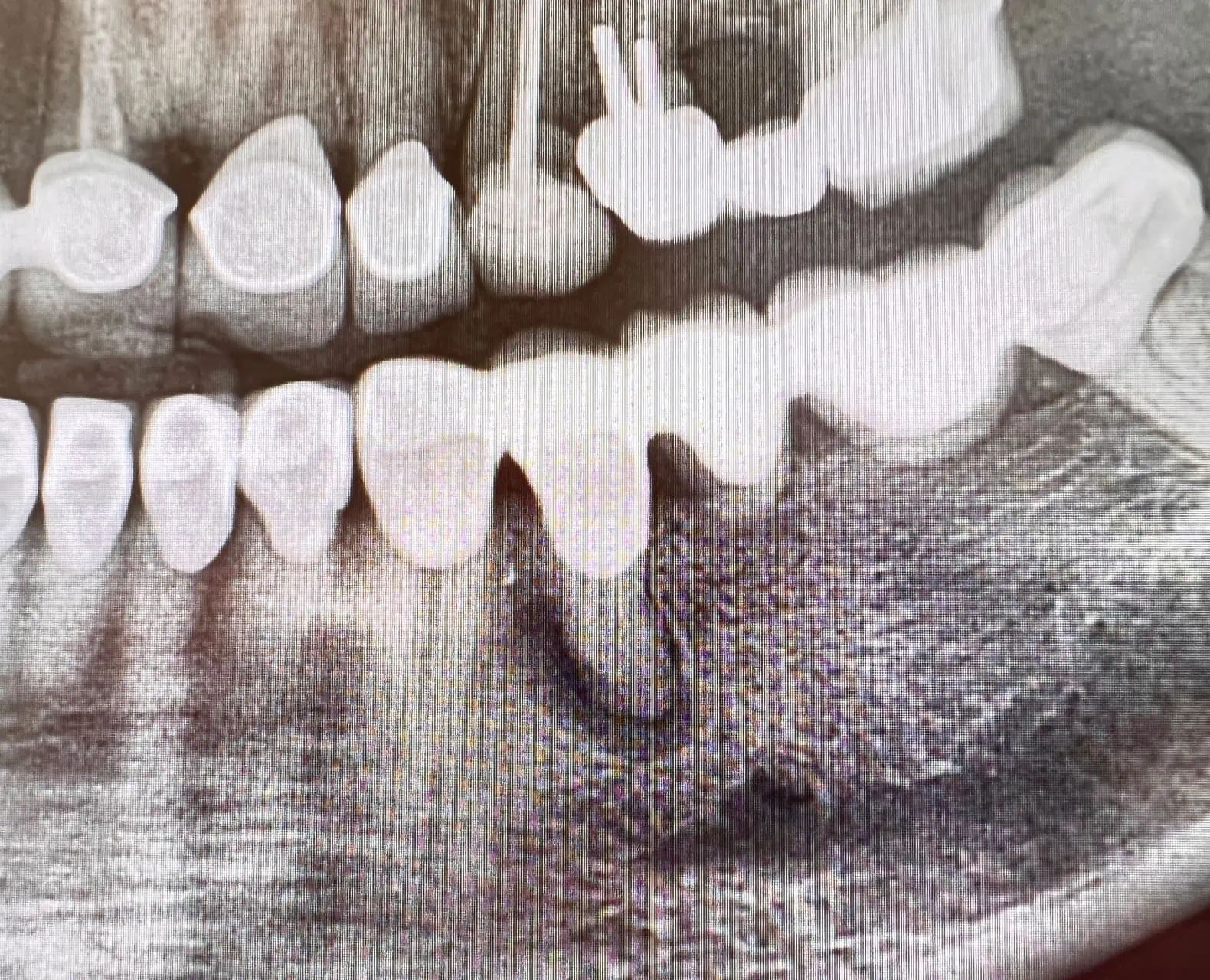
Komplikationen nach einer Wurzelbehandlung Wenn eine Revision nötig wird YouTube
Komplikationen nach einer Wurzelbehandlung Wenn eine Revision nötig wird YouTube from www.youtube.com

Um Schäden des Zahns zu verhindern und den Zahn zu stabilisieren, ist in vielen Fällen eine Krone empfehlenswert Entweder kann die Krone gelöst und später nach erfolgter Wurzelbehandlung und neu bearbeitet wieder eingesetzt werden.

Komplikationen nach einer Wurzelbehandlung Wenn eine Revision nötig wird YouTube

Ein Zahnbruch kann dazu führen, dass der Zahn letztlich entfernt werden muss, was in den meisten Fällen eine aufwendige und kostenintensive Versorgung mit Zahnersatz wie einem Implantat oder einer Brücke nach. Dies hängt von verschiedenen Faktoren ab, wie dem Zustand der Krone und des darunterliegenden Zahnes nach der Wurzelbehandlung. Auch ein bereits wurzelkanalbehandelter Zahn mit Krone kann Schmerzen bereiten, wobei die Ursache meist eine Entzündung im Bereich der Wurzelspitzen ist.

Wurzelbehandlung mit OPMikroskop Endodontie Bad Mergentheim • Zahnarztpraxis Dr. Andreas Kanev. Hinzu kommt, dass wurzelbehandelte Zähne anfälliger für Bakterien sind, als gesunde Zähne Dies hängt von verschiedenen Faktoren ab, wie dem Zustand der Krone und des darunterliegenden Zahnes nach der Wurzelbehandlung.

wieso nach einer wurzelbehandlung stift + krone Wurzelbehandlung, Zahnimplantat, Behandlung. Renne schon seit 2 Jahren mit einem wurzelbehandelten Zahn umher, weil der bis jetzt immer wieder Zicken gemacht hat, da wäre eine Krone nicht sehr angebracht gewesen, weil man danach nur noch hätte ziehen können. Eine Krone kann in diesem Fall dazu beitragen, das Erscheinungsbild zu verbessern